HIGH LEVEL IMPLANT

고난이도 임플란트

고난이도 임플란트 걱정하지 마세요.
환자의 입장에서 임플라인이 대신 고민하겠습니다.

임플란트 개수가 많아도
고난이도 재수술 케이스여도 가능합니다.

전악 임플란트

치아가 하나도 남아있지 않거나 전체적으로 상실된 경우 추천합니다.

치아의 기능을 다시 회복하기 위해 선택하는 임플란트입니다.
상실한 치아를 오랫동안 방치한 경우 상, 하악 잇몸뼈의 양도 부족한 경우가 많기 때문에 개개인의 건강 상태를 고려하여 정확한 수술 계획을 세워야 합니다.

  • 치주질환으로 인해 음식을 씹기 힘들고,
    미관도 좋지 않아 치아를 모두 발치한 후
    전체 임플란트 수술을 하기로 결정

  • 위 8개 + 아래 8개 임플란트 수술 진행 후
    위 13개 + 아래 13개 (전체 치아)
    임플란트 보철 제작 예정

  • 임플란트 보철 완성

발치 즉시 임플란트

내원 당일 이루어지는 마법, 진단부터 식립까지 단 하루만에!

바쁜 현대인을 위한 임플란트, 효율적인 내원 및 결과!
발치즉시 임플란트는 기다리는 기간을 줄이고, 치유력이 가장 좋은 시기에 치료를 도와드립니다.

발치 후 즉시 임플란트 뿌리를 식립하면서 부족한 잇몸뼈를 이식하는 고난이도 술식도 가능합니다.

상악동 거상술

잇몸뼈가 없어도 만들어서 식립해 드립니다.

상악동은 윗 잇몸뼈 위쪽의 코 양옆으로 뻥 뚫려 있는 공간이며, 얇은 막으로 덮여 있습니다.
위쪽 어금니 임플란트를 심을 때, 이 부근의 잇몸뼈가 부족하면 임플란트가 상악동을 뚫고 들어갈 수 있습니다.
이를 방지하기 위해 상악동의 얇은 막을 들어 올리고 그 안에 잇몸뼈를 적당히 채워 주는 수술 방법이 상악동 거상술입니다.

MTM 교정 + 임플란트

주변 치아가 다 쓰러져도 임플란트가 가능합니다.

MTM 교정은 Minimal Tooth Movement의 약자로, 기울어진 치아를 최소한만 이동시키는 교정 방법입니다.
임플란트가 들어갈 공간을 확보하기 위한 목적으로 진행되며, 대개 2~4개월 정도의 기간이 소요됩니다.

치아의 정출 + 임플란트

정출된 치아에 그냥 심으면 안됩니다.

치아가 소실된 상태로 오래 방치하면, 치아가 아래로 내려오거나 위로 솟구칠 수 있는데, 이를 정출이라고 부릅니다.
정출된 치아를 그대로 두고 임플란트를 심으면 치아 대합이 맞지 않고 환자에게 올바른 치료가 될 수 없기 때문에
임플란트 치료와 더불어 치아교정 또는 크라운 등의 보철치료를 할 수 있습니다.

임플란트 틀니

임플란트 틀니는 훨씬 더 안정적이고 튼튼합니다.

임플란트 틀니는 상위(위 턱) 4개, 하악(아래 턱) 4개의 임플란트 뿌리를 식립하고
자석형 틀니를 고정함으로써 다수의 치아를 수복하는 치료방법입니다.

  • 상악(위 턱)과 하악(아래 턱)에 틀니 고정을 위한 임플란트 뿌리를 식립

  • 틀니 고정장치(자석형)를 구강에 시적, 교합과 안정을 맞추는 과정

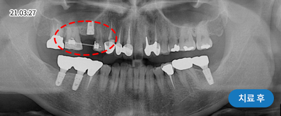
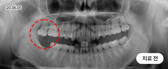
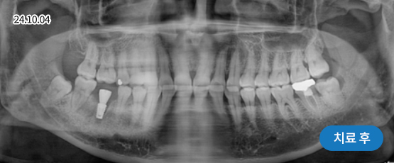
임플란트 재수술

처음보다 더 어렵고 까다로운 재수술 임플란트

잘못된 임플란트 수술과 잘못된 임플란트 관리는 부작용을 발생시킬 수 있으며, 통증을 동반하게 됩니다.
임플란트 재수술은 기존 임플란트를 제거 후 새롭게 잇몸뼈를 만들고 알맞은 잇몸형태를 잡아내어 새 임플란트를 식립하는 시술입니다.

재수술이 필요한 대상

임플란트 주위염으로 인해 잇몸뼈가 녹은 경우
임플란트를 제대로 식립하지 못한 경우
오래된 임플란트가 흔들리는 경우
임플란트가 서로 너무 가깝게 심어져 염증이 생긴 경우
* 임플란트 주위염, 수술 후 감각 이상 등 부작용이 발생할 수 있습니다.
* 본 사진은 동일 조건에서 촬영되었으며, 환자 본인의 동의를 얻어 게재되었습니다.
  • 031·335·2875

    진료안내

    월요일09:30~20:00 (야간진료)
    화 ~ 금09:30~18:00
    토요일09:30~14:00
    점심시간13:00~14:00

    * 토요일은 점심시간 없이 진료합니다.
    * 일요일 및 공휴일은 휴진입니다.

    주차

    건물 지하주차장 / 금학공영주차장(처인구 용문로 140)

임플라인치과의원 용인점
대표자 : 김재현 · 사업자등록번호 : 142-90-74957
경기도 용인시 처인구 금령로 21, 2층(김량장동,메디타워) · 031-335-2875

비급여진료비안내

© 2024 임플라인치과의원 용인점. ALL RIGHTS RESERVED.